اخبار السعودية
مستشفى الدكتور سليمان الحبيب بالقصيم ينهي معاناة “ستينية” بعملية استبدال مفصل ركبة نوعية

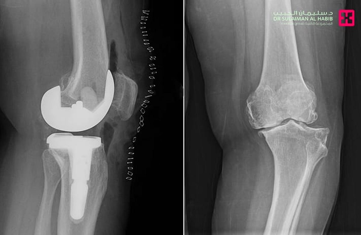
نجح مستشفى الدكتور سليمان الحبيب بالقصيم في إجراء عملية نوعية ناجحة لاستبدال مفصل الركبة اليسرى بتقنية حديثة تُخفّف الآلام وتُسرّع التعافي، منهيةً معاناة سيدة ستينية كانت تعاني من خشونة شديدة واحتكاك حاد وتلف في غضاريف المفصل.



